1 引言 (Introduction)
聚甲醛生產廢水含有甲醛、三聚甲醛 (TOX)、二氧五環、甲縮醛和酚類等有害物質, 具有鹽分高、COD高等特征, 很難生物處理至達標排放, 對環境和人體有極大的危害.目前針對聚甲醛廢水常見的處理方法有石灰法、高級氧化法 (如Fenton氧化法、濕式氧化法、臭氧催化氧化法)、復合工藝法等.但由于以上方法會產生大量化學污泥、條件要求苛刻、運行成本較高、工藝管理困難, 因此應用受限;普通生物法也由于甲醛、TOX等有毒物質的抑制作用, 許多微生物活性喪失, 無法實現有效生物降解.
通過對聚甲醛污水反應器底泥分離篩選, 本課題組先后獲得甲醛降解菌Candida maltosa和Pseudomonsa putida 和三聚甲醛 (TOX) 降解菌Bacillus methylotrophicus等, 調查了其在不同環境因子下對TOX的降解規律, 并發現B. methylotrophicus與甲醛降解菌的生物強化組的結果優于其它組合, 可共同消除抑制微生物群落的主要毒性物質.在此基礎上, 本次實施了聚甲醛廢水生物強化的中試模擬研究, 除調查污染物去除規律和穩定強化系統外, 還利用PCR-TGGE技術分析中試系統中微生物的群落結構和種群動態, 以對強化系統高穩態、高抗沖擊負荷能力的解讀, 為工業難降解污水的生物強化處理提供有益的思路.
2 材料與方法 (Materials and methods) 2.1 菌株
麥芽糖假絲酵母 (C. maltosa)、惡臭假單胞菌 (P. putida) 和甲基營養型芽孢桿菌 (B. methylotrophicus), 為重慶大學城市建設與環境工程學院微生物分子生態學實驗室保存菌株.以分離純化的菌株B. methylotrophicus及實驗室分離出的甲醛降解菌按2:1(體積) 組合成的復合菌劑作為外投菌劑.
2.2 活性污泥與水樣
活性污泥取自某煤化工企業聚甲醛污水廠曝氣池;以該污水廠厭氧段出水作為中試模擬進水 (同時亦為該污水廠好氧段進水), 水質數據見表 1.
表 1 系統進水水質
2.3 培養基
擴培培養基 (LB):蛋白胨10 g、氯化鈉10 g、酵母浸出粉5 g、蒸餾水1000 mL、pH 7.0, 1×105 Pa滅菌20 min.
2.4 指標測定
COD測定:HACH消解法 (吉芳英等, 2003);甲醛測定:乙酰丙酮分光光度法;TOX測定:參照侯麗等 (2013)頂空色譜毛細柱法方法測定.
2.5 聚甲醛廢水中試系統反應器及運行參數
中試模擬裝置以污水廠工藝為參照, 采用鋼筋混凝土罐作為連續流反應器, 共設一級好氧 (R1)、二級好氧 (R2)、三級好氧 (R3) 和二沉池 (R4) 等4級, Q1~Q3為風機, J1~J3為攪拌器, F1~F12為閥門 (圖 1), 各反應器有效容積分別為2.4、0.8、2.4和0.6 m3, 設計水力停留時間 (HRT) 分別為48、16、48 h和8 h.各反應器配置有相應污水泵、變頻攪拌器及空壓機以保證系統正常連續運行;流量通過出水閥和電磁流量計控制, 污泥回流比控制為50%~80%;系統剩余污泥通過二沉池底部排泥閥定期排放.當系統運行穩定后于一級好氧反應器R1中按容積比例的1%投加菌液;首次加入菌劑時反應器R1需停止進、出水, 維持DO值2~3 mg·L-1悶曝24 h, 而后中試反應系統在其他運行條件不變下再次實現連續運行.

圖 1 中試模擬裝置簡圖
2.6 樣品采集
系統運行后每天定時取樣, 測定各反應器進出水甲醛、TOX和COD濃度.樣本基因組DNA提取所需活性污泥取自R1反應器第5、15、30、40和55 d, 樣品采集后于-20 ℃保存備用.
2.7 活性污泥鏡檢及掃描電鏡 2.7.1 活性污泥的顯微鏡觀察
取反應器R1未經強化的原始活性污泥以及投加菌劑強化運行后第5、30和40 d的活性污泥于光學顯微鏡下觀察, 并利用Motic Images Advanced 3.2軟件進行記錄拍照, 分析各階段活性污泥絮體狀態以及微生物生長狀況.
2.7.2 活性污泥的掃描電鏡觀察
取運行至40 d時中試系統 (生物強化) 與同期污水廠 (未強化) 的活性污泥樣品, 首先用戊二醛、酒精等逐級脫水固定, 然后低溫干燥, 最后噴金進行掃描電鏡分析其表面及微生物種群形態.
2.8 活性污泥總DNA的提取與純化
提取方法參照OMEGA DNA提取試劑盒說明書進行.取3 μL提取的DNA與1 μL 6 × loading buffer混合后, 用1%瓊脂糖凝膠電泳檢驗其DNA濃度及大小, 并判斷是否需要進行純化.若提取的DNA純度不夠, 用TaKaRa DNA凝膠回收試劑盒進行純化;若純度夠, 亮度不夠, 盡量不純化, 否則會因試劑盒對大片段DNA回收率低, 影響后續PCR.
2.9 污泥總基因組DNA的PCR擴增
對已純化的DNA, 選擇引物R518(5′AT TACCGCGGCTGCT GG3′) 和F341-GC5′CGCCCG CCGCGCGCGGCGGGCGGGGCGGGGGCACGGGGGG CCTACGGGAGGCAGCAG3′) 進行16S rDNA V3區的擴增.PCR反應體系為:總反應體積50 μL, 其中10×Taq buffer 5 μL, d NTP mix 4 μL, 上下游引物 (10 μmol·L-1) 各2 μL, DNA模板4 μL, Taq酶0.5 μL, 滅菌超純水32.5 μL.反應條件為:95 ℃預反應5 min;95 ℃變性1 min, 58 ℃退火45 s, 72 ℃延伸1 min, 反應循環35次; 72 ℃延伸5 min.用1%瓊脂糖凝膠電泳檢驗PCR產物, 若一次擴增產物亮度不夠, 用一次擴增產物作為模板進行二次擴增, 反應體系不變, 則將反應條件中的循環次數減為26次.
2.10 污泥樣品中群落結構的PCR-TGGE分析
TGGE所需凝膠的配制參照王云仙等 (2010)實驗步驟.主要分3步:第1步電壓300 V, 溫度范圍為20~ 20 ℃, 時間10 min;第2步電壓0 V, 溫度范圍為42~60 ℃, 時間10 min;第3步電壓155 V, 溫度范圍為42~60 ℃, 時間18 h.電泳結束后采用銀染法染色, 染色顯影后用UVP凝膠成像系統于白光下拍照保存, 并用軟件Quantity One進行分析.
2.11 微生物群落多樣性分析
以Shannon-wiener指數來作為群落結構量度指標, 展示系統整體微生物群落中近似的多樣性程度.Shannon-wiener指數:3 結果與分析 (Results and analysis) 3.1 廢水中甲醛的生物降解特征
甲醛是聚甲醛污水的主要有毒物質之一, 但部分微生物可以利用甲醛作為碳源和能源, 從而可對其進行降解.本次選擇性生物強化菌劑中的甲醛降解菌為麥芽糖假絲酵母 (C. maltosa)、惡臭假單胞菌 (P. putida), 系前期分離及測試菌株.中試系統采用污水廠同期進水, 對中試系統一級好氧反應器 (R1) 出口、二沉池 (R4) 出水和同期污水廠出水的甲醛濃度進行了測定, 結果見圖 2.

圖 2 系統反應器甲醛進出水濃度
由圖 2可知, 在運行的0~25 d、進水甲醛濃度控制在150~200 mg·L-1之間時, 中試系統在短期適應后, 反應器R1與中試系統出水甲醛濃度均逐漸降低, R1出水甲醛穩定在16~20 mg·L-1, 甲醛去除率在89.8%以上;而中試最終出水甲醛濃度均低于4 mg·L-1, 系統甲醛總去除率高達97.8%.運行至26~35 d時, 進水甲醛被調控升高, R1出口甲醛濃度出現輕微波動后逐步恢復至前期降解水平, 而中試系統最終出水幾乎不受影響.而對比同期聚甲醛污水廠出水狀況, 雖然0~25 d初始階段時污水廠有較高的甲醛降解率 (95.6%), 但當甲醛沖擊負荷出現以后, 出水甲醛濃度大幅攀升, 可能污水廠原生污泥中部分微生物活性受到極大抑制.對照實驗表明, 中試系統可耐受住高濃度甲醛的沖擊, 其抗沖擊負荷能力遠高于污水廠污泥系統.其主要原因應該是該強化菌劑的甲醛耐受濃度可達1060 mg·L-1, 在720 mg·L-1以下可實現甲醛的有效降解從而穩定中試系統 (李媛等, 2015).
針對甲醛的微生物降解, 國內外近年來關于此方面的研究也開始逐漸增多, 研究中涉及的甲醛降解微生物有細菌、酵母菌及少部分真菌.這些已經報道的菌株對甲醛的降解能力高低不一, Halomonas sp. MA-C在甲醛濃度100 mg·L-1以下時能很好生長, 而當甲醛濃度提升至125~150 mg·L-1時, 即使在碳源豐富的培養基中仍不能生長 (Azachi et al., 1995);Rhodococcus erythropolis UPV-1在近20 h內去除了20 mg·L-1的甲醛 (Hidalgo et al., 2002);Pseudomonas pseudoalcaligenes OSS能在24 h內完全降解3700 mg·L-1的甲醛 (Mirdamadi et al., 2005).即使同一菌屬的菌, 不同菌株之間的甲醛降解率也相差較大, Pseudomonas putida A2能夠在24 h內將240 mg·L-1的甲醛降解至40 mg·L-1(Adroer et al., 1990);Pseudomonas putida A1最高能耐受1200 mg·L-1的甲醛, 完全降解400 mg·L-1的甲醛耗時56 h (謝文娟等, 2011);Pseudomonas putida能在含有豐富碳源的條件下46 h內降解5000 mg·L-1的甲醛, 屬于甲醛耐受及降解率較高的菌株 (徐云等, 2010), 尋找高濃度甲醛高效降解菌仍然是甲醛生物降解的目標.
3.2 廢水中TOX的生物降解特征
TOX為聚甲醛廢水中濃度僅次于甲醛的有毒污染物, 且較甲醛更難生化降解.為考察復合菌劑對TOX降解能力, 中試系統采用污水廠同期進水, 對中試系統一級好氧反應器 (R1) 出口、二沉池 (R4) 出水和同期污水廠出水的TOX濃度進行了測定, 結果如圖 3所示.

圖 3 系統反應器TOX進出水濃度
由圖 3可知, 污水廠出水TOX濃度及變化趨勢與進水基本一致, TOX降解率不到10%;而當后期受到TOX濃度沖擊時, 更是幾乎不降解, 可見污水廠好氧段已失去對TOX的降解能力.而中試系統加入含有甲基營養型芽孢桿菌 (B. methylotrophicus) 的復合菌劑后, R1出口和中試出水的TOX濃度均逐步降低, 經0~10 d適應期后出水即趨于穩定.在10~30 d內, R1出口TOX濃度平均為40 mg·L-1, 對TOX降解率為73.5%;最終中試出水低于10 mg·L-1, 去除率高達94.2%以上.即使在26 d后TOX濃度逐漸上升至250 mg·L-1左右, 中試出水TOX濃度仍穩定在10 mg·L-1以下, 中試系統展示出較強的耐受TOX和抗沖擊負荷的能力.
3.3 廢水中COD生物降解特征
系統穩定運行并加入復合菌劑后, 測定污水廠進水、中試R1出口、中試系統出水和同期污水廠出水的COD值, 結果見圖 4.

圖 4 系統反應器進出水COD
由圖 4可知, 系統進水COD變化主要分為2個階段:0~30 d, COD為1000~1250 mg·L-1;30~60 d, COD為1500~1600 mg·L-1.在同等進水條件下, 污水廠好氧段COD降解率不到20.0%;當中期受到負荷沖擊時, 其出水COD甚至達1300 mg·L-1, 污水廠整個好氧段已處于崩潰狀態.而對于中試系統, 經短暫適應期后, R1出口COD趨于穩定, 保持在350~450 mg·L-1之間, 去除率達65.8%以上;而中試系統在運行至10 d時出水COD便降至120 mg·L-1以下, COD去除率高達92.6%, 滿足污水綜合排放標準GB8978-1996二級標準, 整個中試系統也展現出優良的抗沖擊負荷能力.
中試系統甲醛、TOX和COD去除率如表 2所示.結合圖 2、3和4可知, 相比于甲醛, TOX對于普通活性污泥更難降解且對微生物毒性更強, 是引起聚甲醛廢水污染物和COD去除率低的主要因素.經強化后中試系統獲得同步有效降甲醛和TOX的能力, 從而解除甲醛、特別是TOX對其它COD降解微生物的代謝和生長的抑制, 通過協同作用增強活性污泥去除COD的能力.
表 2 主要污染物去除率
3.4 活性污泥的性狀分析 3.4.1 污泥鏡檢分析
對系統運行不同時期活性污泥進行光學顯微鏡觀察, 分析不同階段活性污泥形態及生物相變化, 結果如圖 5所示.

圖 5 各階段活性污泥鏡檢圖 (10 × 40光學顯微鏡)(a.未強化, b.強化5 d, c.強化30 d, d.強化40 d)
由圖 5總體可看出, 未強化前污泥絮體松散, 污泥顆粒較小, 且未觀察到任何原生及后生動物, 說明該活性污泥活性差, 這也從另一方面解釋了污水廠好氧段COD去除率低的原因.在投加復合菌劑運行至第5 d以后, 污泥絮體明顯較為緊實, 且顆粒變大;至第30 d時, 活性污泥相對于第5 d時則較為松散, 觀察到有球狀菌團出現, 而期間進水TOX驟升至250 mg·L-1, COD升至1600 mg·L-1左右, 受到負荷沖擊, 這也許是微生物抵抗外界不利因素侵害的一種反應;當運行至第40 d時, 活性污泥絮體更為密實, 且顆粒度最大, 并有輪蟲出現, 表明此時系統在經歷負荷沖擊后運行穩定, 活性污泥生長狀態良好.
3.4.2 污泥掃描電鏡分析
分別選取同期污水廠一級氧化池和反應器R1運行至第40 d的活性污泥, 作掃描電鏡對比觀察, 結果如圖 6所示.

圖 6 強化前后污泥掃描電鏡圖 (放大倍數3000x)(a.同期聚甲醛污水廠活性污泥, b.中試系統第40 d活性污泥)
同期聚甲醛污水廠活性污泥 (圖 6a) 疏松多孔, 且有大量絲狀菌附著繁殖, 期間甲醛和TOX濃度均在250 mg·L-1以上, 系統受嚴重負荷沖擊, 表明此時污泥已中毒失活, 生長狀況較差;而同期強化中試系統活性污泥 (圖 6b) 密實少孔, 且有桿狀和球狀菌存在, 可看出強化后中試系統較原污水廠對甲醛及TOX毒性有更強的耐受和降解能力.
3.5 活性污泥微生物群落結構及多樣性分析 3.5.1 微生物群落結構變化分析
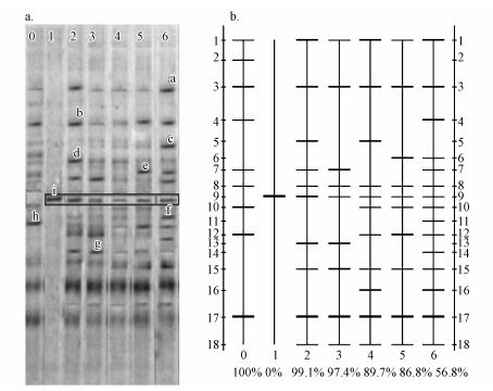
對各個階段活性污泥樣品進行DNA提取, 并將所得污泥總DNA進行PCR擴增實驗, 活性污泥6個樣品PCR均未出現非特異性擴增, 片段大小在250~500 bp之間, 滿足后續溫度梯度凝膠電泳 (TGGE) 實驗要求.系統運行各階段PCR-TGGE圖譜及泳道識別見圖 7.

圖 7 一級氧化反應器R1不同運行時段污泥TGGE圖譜及泳道識別圖 (a.污泥TGGE圖譜; b. TGGE圖譜泳道識別圖; 0.未強化, 1. B. methylotrophicus, 2.第5 d, 3.第15 d, 4.第30 d, 5.第40 d, 6.第55 d)
由圖 7a可看出, 未強化前系統微生物群落結構較單一, 但隨著強化菌群的加入及進水水質變化, 圖譜部分條帶出現亮度逐漸變暗或增加, 以及出現新條帶的現象, 表明該系統活性污泥微生物種群結構發生了明顯演替.以0號樣品 (未強化) 作為參照, 6號與0號樣品相似性指數最低, 僅為56.8%(圖 7b), 表明強化后穩定運行的中試系統與原污泥系統的微生物群落結構已有較大差異.而相鄰泳道6號 (55 d)、5號 (40 d) 之間相似性相差也較大, 研究認為這是系統對沖擊負荷實現了有效適應, 實現了優勢菌株的快速增長.
圖 7a中i譜帶為原活性污泥中不具有的B. methylotrophicus, 該菌加入中試系統后一直存在, 這揭示了中試系統TOX低的原因.隨著運行進程, TGGE圖譜的i譜帶出現了亮度先下降、后逐漸增加和在第30 d時最暗的現象, 這應該同該系統受到負荷沖擊有關, 是菌株對系統環境變化的適應所致.運行至后期代表B. methylotrophicus的條帶i亮度恢復, 幾乎與強化初期持平, 說明此時B. methylotrophicus已成功附著于活性污泥中, 并實現了有效增殖.而原污水廠活性污泥中沒有該譜帶和B. methylotrophicus, 反映在水質指標上就是TOX較高, 水質毒性未解除, 導致其生物種群數量也不及中試系統穩定態多, 從而COD降解率也較低.總體來看, 菌株B. methylotrophicus在系統中擁有抵抗負荷沖擊和去除TOX所需的優勢地位, 解除了TOX對其他微生物的抑制, 實現聚甲醛廢水的高效處理.
3.5.2 活性污泥微生物多樣性分析
中試系統污泥群落的Shannon-wiener指數變化情況如圖 8所示.

圖 8 活性污泥各階段Shannon-wiener指數變化
由圖 8可知, 在整個運行期間, 系統污泥微生物多樣性經歷了由高到低、再由低到高的過程.未強化前污泥Shannon-wiener指數低 (2.286), 說明其微生物多樣性相對較低.加入菌劑初期 (第5 d), Shannon-wiener指數上升至2.428, 大幅增強了系統微生物種類和多樣性.當運行至第30 d, 期間由于負荷沖擊使Shannon-wiener指數一度降至2.194, 表明系統微生物生長受到嚴重抑制致使其多樣性降低;結合圖 7b(泳道4) 可知, 負荷沖擊雖使活性污泥微生物多樣性有所降低, 但仍未影響到關鍵優勢菌株如B. methylotrophicus對目標污染物TOX的降解能力.系統穩定運行期55 d時, Shannon-wiener指數大幅提高至2.692, 微生物多樣性獲得進一步增加, 表明此時中試系統已完全適應進水高負荷的沖擊, TOX毒性被降低, 微生物種群數量增加, 其中B. methylotrophicus則是維持該系統微生物多樣性回復上升和穩定的關鍵因子和優勢菌株.
4 結論 (Conclusions)
1) 復合菌劑被應用于中試系統進行了聚甲醛降解的生物強化研究, 當采用生產污水作為進水時, 中試系統最終出水甲醛、TOX和COD濃度分別低于4、10和120 mg·L-1, 其降解率在97.8%、94.2%和92.6%以上, 出水水質達到預期目標.
2) PCR-TGGE圖譜分析表明, 添加強化復合菌劑的中試系統, 聚甲醛降解菌B. methylotrophicus可以在活性污泥中實現有效增殖, 在經受住沖擊負荷后成為了系統的優勢菌株, 支撐著中試系統對TOX的有效降解.具體參見污水寶商城資料或http://m.dongaorq.cn更多相關技術文檔。
3) 復合菌劑的加入不僅大幅降低了TOX、甲醛等物質的毒性, 更由于毒性物質對活性污泥中微生物抑制的去除, 提高了中試系統的微生物活力和微生物多樣性, 不僅增強了系統的抗沖擊負荷能力, 也最終形成了一個穩定的聚甲醛污水處理系統.




