1 引言
隨著污水處理工藝的發展,活性污泥法由于其廉價、高效的優點已在全世界范圍內被廣泛應用.然而,污泥膨脹問題常常影響著污水處理工藝的穩定運行,進而增加污泥處理費用和出水懸浮顆粒物濃度,甚至威脅下游生態系統和公共健康.引發活性污泥膨脹的因素較多,而溫度變化是不容忽視的關鍵因素之一.由于季節的更替,全球大多數地區的活性污泥法污水處理廠都受到溫度的影響,并且整體呈現冬春季節污泥膨脹頻發,而夏秋季節沉降性能良好的趨勢.雖然許多研究者已證明溫度會引起污泥沉降性的改變,但目前對造成這一改變的機理尚無定論.
前人關于污泥沉降性的研究主要集中于絲狀菌的數量、絮體形態、胞外聚合物(EPS)、污泥含磷量與密度等方面和認為低溫有利于絲狀菌的生長,而高溫會抑制其生長,進而改變污泥的沉降性能.然而觀測發現,隨著季節的更替,實際污水處理廠中絲狀菌的數量和污泥沉降性并未發生明顯改變.因此,溫度對絲狀菌的影響仍需要更為深入的研究.EPS是活性污泥絮體的重要組成部分,許多研究者認為EPS在污泥絮凝和沉降過程中起著十分關鍵的作用,EPS含量會隨著污泥SVI的升高而升高.但也有研究表明,在實際污水處理廠中,盡管低溫會導致污泥EPS含量的升高,但EPS與污泥沉降性的相關性仍然較差.到目前為止,EPS對污泥沉降性尤其是在不同溫度時的影響仍然沒有一致的結論.在強化生物除磷系統中,先前的研究發現,聚磷菌容易形成密實的絮體,進而改善污泥的沉降性能.提出假說認為,由于聚磷顆粒(PP)比普通活性污泥的密度大,在強化生物除磷系統中聚磷顆粒可以增加污泥的密度以改善污泥的沉降性能.此外,通過添加微小顆粒來調節活性污泥密度的一系列試驗進一步證實了這個假說.然而,需要指出的是,上述驗證實驗中污泥絮體通常沒有絲狀菌或者含量較少,并且絮體形態并沒有明顯變化.而一項對實際污水處理廠的調查發現,污泥的沉降性能受污泥密度和絮體結構共同影響.當絲狀菌含量較高或者污泥絮體不太規則時,污泥沉降性與密度相關;而當絲狀菌較少或者絮體較圓時,污泥沉降性與密度無關.這一現象與Schuler等之前的假說有矛盾之處.在實際污水處理廠中,由于各種原因絲狀菌常常大量增殖或者周期性出現,因此,污泥密度和絲狀菌(尤其是當絲狀菌發生變化或者大量增殖時)究竟如何影響污泥的沉降性能仍然需要進一步的研究.隨著分子生物學技術的發展,人們可以更加深入地了解活性污泥的菌群組成.在研究溫度對生物強化除磷系統菌群分布的影響時,先前的研究者主要通過熒光原位雜交(FISH)技術揭示聚磷菌(PAOs)與聚糖菌(GAOs)之間的競爭關系,而很少關注在溫度變化過程中整個活性污泥菌群的演替及其與污泥絮體沉降性能變化的關系.由于FISH技術無法檢測未知種屬的細菌,因此,在研究活性污泥菌群組成時具有一定的局限性.而聚合酶鏈式反應-變性梯度凝膠電泳(PCR-DGGE)可以檢測系統中含量大于1%的未知種屬細菌,因此,在描述整個菌群結構的變化時具有明顯優勢,進而為探索微生物種群結構、除磷效果和污泥性狀(沉降性能、絲狀菌種類和數量等)之間的關系提供了有效途徑.
基于此,本試驗通過運行連續流厭氧/好氧除磷系統,在溫度變化條件下對污泥性狀(沉降性、EPS、可揮發性固體、密度、含磷量和絲狀菌)及微生物群落結構等進行觀測,探索不同溫度作用下不同參數之間的關系.試從不同角度分析溫度對污泥沉降性能的影響機理,為污水處理廠在季節交替時的穩定運行提供理論依據.
2 材料和方法
2.1 試驗裝置
本試驗平行運行兩套強化生物除磷系統,反應器由有機玻璃構成(圖 1),容積為6 L,厭氧區與好氧區體積比為1∶3.日處理水量18 L · d-1,污泥回流比為100%,進水和污泥回流均采用蠕動泵控制.主反應區水力停留時間為8 h,其中,厭氧2 h,曝氣6 h.兩系統污泥齡均為12 d左右.

圖 1 A/O除磷系統裝置示意圖
2.2 反應器啟動及污水水質
本試驗接種污泥取自實驗室中穩定運行的生物強化除磷系統,MLSS為3000 mg · L-1左右,SVI為238 mL · g-1,各取6 L分別投入兩套反應器內,反應器運行溫度為20 ℃左右.運行34 d后,兩系統均達到穩定狀態,污泥濃度為3000 mL · g-1左右,COD和磷酸鹽去除率分別為95%和85%,SVI值維持在240 mL · g-1左右.此時,將其中一套反應器溫度升至25 ℃(1號反應器),將另一套系統溫度降至15 ℃(2號反應器).兩反應器進水基質與用于接種的生物強化除磷系統相同,采用人工模擬生活污水,其配方為(mg · L-1):尿素11.94,磷酸氫二鉀41.76,MgSO4 · 7H2O 45.09,無水CaCl2 5.46,碳酸氫鈉 27.50,硫酸亞鐵 11.02,無水乙酸鈉 172.69,土豆淀粉134.07,蛋白胨 19.17,奶粉 70.93和酵母膏 57.41,微量元素 0.09 mL · L-1,其組成成分為(g · L-1):(NH4)6Mo7O24 · 4H2O 0.6253、CoCl2 · 6H2O 0.2953、KI 0.3562、CuSO4 · 5H2O 4.1731、MnSO4 · H2O 0.5937、H3BO3 1.7808、ZnSO4 · 7H2O 2.2544.進水水質見表 1.
表1 模擬生活污水水質特性

2.3 分析方法
主要指標均按照標準方法進行檢測,不可揮發性固體(NVSS)為混合液懸浮固體與可揮發性固體的差值,聚合磷酸鹽(Pns)為總磷和溶解性磷酸鹽的差值.胞外聚合物(EPS)依據Fr的方法,采用陽離子交換樹脂提取,采用Folin-酚法測定蛋白質,采用蒽酮比色法測定多糖.活性污泥絮體采用尼康光學顯微鏡進行觀測.絲狀菌鑒定參照的方法,通過革蘭氏染色、納氏染色、PHA染色及形態觀察等確定.污泥密度參照的方法,采用Percoll分離液測定.
2.4 活性污泥菌群分析
活性污泥菌群分布采用PCR-DGGE進行分析.在試驗運行的第23、34、37、60、72和第87 d(圖 2a),分別從兩個系統中各取4 mL泥水混合液,-20 ℃凍存.待反應器運行結束后,提取所有樣品DNA,以大多數細菌和古細菌的16S rRNA基因V3區通用引物擴增引物堿基序列為:GC-341F(5′-CGCCCGCCGCGCGCGGCGG GCGGGGCGGGGGCACGGGGGGCCTACGGGAGGCA GCAG-3′)和534R(5′ATTACCGCGGCTG CTGG-3′).PCR反應體系為50 μL,采用降落PCR策略擴增(已優化):94 ℃預變性5 min;前20個循環,94 ℃變性30 s,65~55 ℃退火30 s(每個循環退火溫度降低0.5℃),72 ℃延伸30 s;后10個循環,94 ℃變性30 s,55 ℃退火30 s,72 ℃延伸30 s;最后72 ℃最終延伸10 min.PCR產物用1%瓊脂糖凝膠電泳檢測.檢測完畢后,采用Bio-Rad公司Dcode TM的基因突變檢測系統對PCR反應產物進行分離.聚丙烯酰胺凝膠濃度為8%,變性劑濃度為40%~60%.電泳優化后條件為:130 V電壓下預電泳10 min,此后70 V電泳13 h,電泳緩沖液溫度為58 ℃.電泳完畢后,DGGE凝膠經DelRed染料染色送至凝膠成像儀處掃描獲取圖像.采用QuantityOne(Bio-Rad)分析活性污泥樣品中電泳條帶的數目和亮度,以評估各系統中的微生物群落.采用SPSS軟件對各個樣品進行對應分析(Correspondence analysis).對DGGE凝膠上的目的條帶,經回收,再擴增,克隆后送至上海生工進行測序.然后將所得序列提交至GeneBank登記,序列號為:KF559164-KF559181.最后在GeneBank數據庫中用BLAST進行檢索和同源性比較.采用Mega 4.1基于Neighbor-Joining方法構建系統發育樹.

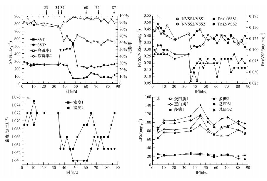
圖 2 溫度對1、2號反應器污泥各指標的影響
3 試驗結果與討論
3.1 不同溫度對污泥性狀的影響
圖 2所示為整個試驗階段兩反應器中系統除磷率、污泥沉降性、含磷量(Pns)、污泥中不可揮發性固體(NVSS)、密度和EPS的變化.從圖 2a可以看出,溫度對系統除磷效能影響很大.高溫可導致系統的除磷率(65%)顯著下降,而低溫將使除磷率(96%)大幅提升,這一點與前人的報道一致.與此同時,伴隨著除磷率的改變,污泥的沉降性也發生了很大變化.當1號反應器運行溫度升高至25 ℃時,運行8 d之后,污泥沉降性能逐漸好轉;至第45 d時系統逐漸趨于穩定,SVI繼續降低并穩定在70~130 mL · g-1之間.2號反應器運行溫度降至15 ℃時,SVI值迅速升高至480 mL · g-1,污泥沉降性能急劇惡化;運行至第52 d時污泥沉降性突然改善,SVI降至238 mL · g-1,此后始終維持在250 mL · g-1左右.整體而言,1號反應器的沉降性優于2號反應器,說明高溫可以有效地改善污泥的沉降性能.
圖 2b所示為兩反應器中NVSS/VSS和Pns/VSS的變化.對于1號系統,污泥中NVSS整體變化不大,當溫度升高時,NVSS/VSS先略有降低,隨后立即回升并在0.37 mg · mg-1左右波動.對于2號系統,在溫度降低的短期內,NVSS/VSS含量迅速降低(0.31 mg · mg-1左右),直至第52 d即污泥沉降性迅速轉好時才回升至0.41 mg · mg-1,此后一直在0.35 mg · mg-1左右波動.當溫度突然改變時,兩反應器中污泥含磷量迅速降低,隨后緩慢上升直至污泥沉降性轉好時Pns/VSS才逐漸穩定.對于高溫系統,雖然Pns/VSS有明顯的降低,但隨即恢復.相對于高溫系統,低溫系統中污泥Pns/VSS降低較多,由此推測,突然的降溫可能會導致活性污泥中的聚磷顆粒大量流失,進而使污泥含磷量大幅減少.當兩系統均處于穩定狀態時,NVSS/VSS相差不大,但高溫系統的污泥含磷量明顯低于低溫系統.圖 2c所示為兩系統的污泥密度變化情況.當1號反應器溫度升高至25 ℃時,與Pns的變化相似,污泥密度也迅速降低,隨后逐漸增加并穩定在1.066~1.072 g · mL-1之間,在此過程中污泥濃度并無明顯變化.2號反應器溫度降至15 ℃后,污泥密度也迅速降低(由1.066 g · mL-1降至1.060 g · mL-1),此時,2號反應器污泥流失嚴重,污泥濃度從3000 mg · L-1降至2000 mg · L-1左右;當沉降性逐漸穩定時,污泥濃度才逐漸恢復至3000 mg · L-1左右,此時污泥密度在1.063~1.066 g · mL-1之間.穩定狀態時,低溫系統的污泥密度略低于高溫系統,這點與我們的預期不同.依照Schuler等的理論,由于低溫系統污泥Pns含量較高,所以其污泥密度應略高于高溫系統.據此推測,在本實驗中污泥密度可能同時受到其他因素的影響,如絲狀菌的數量和菌膠團的密實程度等.圖 2d為污泥中EPS含量的變化.可以看出,溫度的突然改變會導致EPS中蛋白質含量迅速增加,其中,低溫環境下蛋白質含量變化更大.當系統污泥沉降性能逐漸穩定時,污泥的EPS含量逐漸恢復至變溫前水平.由于EPS與污泥沉降性的變化過程基本一致,推測EPS可能在一定程度上影響著污泥的沉降性能,詳見3.2節.
鏡檢發現,伴隨著污泥沉降性的變化,污泥的形態及絲狀菌種類和數量也發生了一系列的變化.系統中絲狀菌采用染色(革蘭氏、納氏和PHA染色)及形態觀察等方法進行鑒定,本文中僅包含絲狀菌的納氏染色照片.在兩反應器運行溫度為20 ℃時,大量絲狀菌伸出菌膠團(圖 3a),引發絲狀膨脹,致使運行初期污泥沉降性較差.此時系統中的絲狀菌為Thiothrix II型和0041型,其納氏染色照片見圖 3b.溫度升高至25 ℃時(1號系統),在最初的8 d內,污泥的沉降性無明顯變化,但污泥中原有絲狀菌中逐漸減少;當系統逐漸穩定時,污泥絮體變得比較密實,只有少量的0914型和0041型絲狀菌伸出絮體之外(圖 3c和d),污 泥沉降性能良好.降低溫度至15 ℃時(2號系統),在最初的8 d內,污泥中的絲狀菌并沒有明顯的變化,此后的1周內,Thiothrix II和0041型絲狀菌逐漸消失;第52 d時,Thiothrix II絲狀菌又重新大量繁殖,逐漸在系統中占據優勢地位.污泥絮體雖然比較密實,但有大量絲狀菌伸出絮體之外(圖 3e和f).總體而言,升溫前后污泥絮體中絲狀菌數量變化較大,而降溫前后污泥絮體中絲狀菌數量變化較小.

圖 3 活性污泥絮體的相差顯微照片和絲狀菌的納氏染色顯微照片(a.20 ℃,b.納氏陰性Thiothrix II型和納氏陽性0041型,c.25 ℃,d.納氏陰性0914型和納氏陽性0041型,e.15 ℃,f.納氏陰性Thiothrix II型)
3.2 污泥性狀各指標的相關性分析
為了探索污泥性狀對污泥沉降性的影響機理,采用SPSS對污泥沉降性和污泥性狀進行相關性分析.所取數據自反應器接種開始至試驗結束為止,分析結果詳見表 2.由表 2可以看出,在不同反應器中,SVI與污泥性狀之間呈現截然不同的規律.對于1號系統,除EPS中的多糖與SVI有顯著相關性外,蛋白質、EPS總量均與SVI不相關.由于多糖含量較少且變化較小,因此,總體而言,EPS對污泥沉降性的影響不大.此外,與我們的預期相反,1號系統中污泥SVI隨著NVSS和Pns含量的降低而顯著降低.盡管在此過程中污泥密度也呈現降低的趨勢,但污泥密度與沉降性無顯著相關性.對于2號系統,EPS的增加同樣不利于污泥的沉降,但與1號反應器不同,蛋白質含量及EPS總量與SVI呈現顯著正相關,而多糖含量與SVI不相關.EPS總量和其中的蛋白質含量較高且有明顯變化,其峰值的出現與污泥沉降性能的惡化相吻合,因此,推斷當溫度由20 ℃降低為至15 ℃時,污泥EPS含量的升高對污泥沉降非常不利.此外,污泥中Pns和NVSS含量與SVI呈現顯著負相關.盡管污泥密度與SVI不相關,但污泥密度的增加會在一定程度上降低污泥SVI值.2號反應器中的現象與Schuler等的結論吻合較好.表 2結果顯示,在兩個反應器中,污泥密度與污泥Pns含量均呈現顯著正相關,這一點與前人報道的污泥Pns含量能夠影響污泥密度的結論是一致的.然而,需要指出的是,與污泥含磷量相對應,污泥密度僅在2號系統中與NVSS呈現顯著正相關,而在1號系統中與NVSS不相關.由于2號系統的除磷效率較高,污泥Pns含量高于1號系統,因此,該系統中Pns與NVSS的相關性遠遠高于1號系統.可以推測在影響污泥密度的眾多因素中,污泥含磷量可能占據主導地位.亦即當NVSS與Pns關系較為密切時,NVSS與污泥密度有顯著相關性;而當NVSS與Pns相關性不顯著時,其與污泥密度沒有相關性.
表2 污泥沉降性與污泥其它性狀的相關性分析

對于兩個反應器,除溫度之外其他條件均相同,但污泥性狀差別很大.通過對污泥絮體的觀測及對常規指標(COD及除磷率)的測定發現,對于1號系統,隨著溫度的升高,系統中原有的絲狀菌逐漸被淘汰;系統穩定運行后,污泥中的絲狀菌很少,而這個過程與污泥沉降性由差變好的過程一致.對于2號系統,當溫度突然降低時,污泥沉降性急劇惡化,伴隨著絲狀菌的逐漸淘汰,污泥沉降性略微轉好;經過約1個污泥齡后,Thiothrix II型絲狀菌重新大量增值,污泥中的絲狀菌數量與變溫前差別不大,污泥沉降性較差.與絲狀菌的變化相對應,升溫導致1號系統的除磷能力下降,而降溫卻使2號系統的除磷能力大幅升高,最終導致1號系統的污泥Pns含量明顯低于2號系統.這個現象與前人的結論吻合較好.對于1號系統,前期污泥中絲狀菌大量生長,除磷效果較好,污泥Pns和NVSS含量高,沉降性較差;而在后期,污泥中絲狀菌幾近消失,系統除磷效果較差,污泥Pns和NVSS含量低,沉降性較好.需要指出的是,在1號系統中,污泥SVI隨著Pns/VSS和NVSS/VSS的減小而降低,這一現象違背了Schuler等(2007a;2007b)的理論.這主要是由于在該溫度升高的過程中,絲狀菌數量的大幅減少對污泥沉降性影響很大,進而掩蓋了Pns和NVSS減少對污泥沉降的不利影響.對于2號系統,由于在整個試驗階段絲狀菌數量變化不大,此時絲狀菌對污泥沉降性能的影響可以忽略,則Pns與NVSS對污泥沉降性的影響就顯現出來,進而表現出SVI隨著Pns/VSS和NVSS/VSS含量的升高而降低的趨勢.
在兩個反應器中,污泥密度和SVI并無顯著相關性.這可能是由于本試驗中污泥密度較大,通常在1.6~1.7 g · mL-1之間.根據的研究,當污泥密度在這個范圍內,SVI受密度的影響較小.因此,其它因素可能對污泥沉降性產生較大的影響.就1號反應器而言,絲狀菌數量的變化會對污泥的沉降性產生決定性的影響,而對于2號反應器,污泥中Pns和NVSS含量會在很大程度上影響污泥的沉降性能.
3.3 不同溫度對活性污泥菌群的影響
圖 4a顯示的是所取污泥樣品的微生物群落DGGE圖譜和DGGE簡線圖,其中,M、H、L分別表示反應器溫度為20、25和15 ℃,數字代表采樣時間.圖 4b所示為活性污泥樣品的聚類分析.表 3所示為用于分析微生物群落結構的污泥樣品的沉降性.由于前34 d兩反應器運行條件相同,微生物群 落幾乎無差別,本文僅選取其中一個反應器的樣品來反映該階段兩系統的菌群分布.可以看出,在整個試驗過程中,盡管細菌的種類并無明顯變化,但溫度對反應器優勢細菌的分布影響顯著,15、20和25 ℃會誘導不同細菌的優勢生長,相同溫度的活性污泥樣品微生物群落結構較為相似.從圖 4b可以看出,與反應器的運行溫度相對應,所取的活性污泥樣品可以聚為三大類:第一類為M23和M34,分別代表第23 d和34 d反應器運行溫度為20 ℃時的樣品;第二類為H87、H60、H72,分別代表第87、60和72 d的25 ℃反應器的樣品;第三類為L87、L72、L60、L37和H37,前4個樣品代表第87、72、60和第37 d 15 ℃反應器的樣品,第5個代表第37 d 25 ℃反應器的樣品.在第37 d時,由于系統在改變溫度后運行時間較短,溫度對25 ℃反應器中污泥群落結構的影響并不明顯,因此,H37樣品與其余4個低溫系統的樣品聚為一類.

圖 4 兩反應器中所取的活性污泥樣品的DGGE圖譜(a)及活性污泥樣品的聚類分析(b)
表3 用于分析微生物群落結構的污泥樣品的沉降性

考慮系統運行溫度、污泥性狀(沉降性和EPS)和微生物菌群組成,可以發現三者之間有著微妙的關系.由表 2和圖 4b可以看出,溫度的變化可導致微生物菌群發生明顯的變化,進而改變污泥的沉降性.對于中溫(20 ℃)和低溫(15 ℃),盡管聚類分析顯示兩者的菌群有明顯的差異,但在這兩種條件下污泥沉降性都不太理想(SVI>150 mL · g-1).與之相反,高溫時污泥絮體中絲狀菌含量很少,污泥沉降性良好(SVI<100 mL · g-1).此外,可以發現一個有趣的現象,在聚類分析的第三類樣品中有兩個樣品單獨聚為一個小類,它們是H37和L37,分別代表調節溫度2 d后高溫系統和低溫系統的活性污泥.與變溫前相比,樣品H37的污泥沉降性無明顯變化(SVI為268 mL · g-1),而樣品L37的污泥沉降性急劇惡化,SVI由260 mL · g-1一躍上升至451 mL · g-1.凝膠電泳和鏡檢顯示這兩個樣品的菌群結構、絲狀菌及污泥絮體結構并無明顯差別,因此,可以推斷此時低溫系統污泥沉降性的迅速惡化并不是由于菌群變化引起的.此后經過約20 d左右,低溫系統污泥逐漸好轉,SVI穩定在230 mL · g-1附近.可以看出,在低溫系統中,伴隨著污泥沉降性的急劇惡化和逐漸好轉,污泥的EPS含量也經歷了一個突然上升到逐漸降低的過程,同時污泥中不可揮發性固體經歷了一個突然降低然后緩慢回升的過程.許多研究表明,活性系統中SVI往往隨著EPS含量的增加而升高,兩者具有一定的正相關性.這是由于污泥中的EPS帶有負電性,較多的EPS會使菌膠團之間的排斥力增大,進而導致污泥在沉降過程中絮凝困難.此外,先前的研究者指出,污泥中不可揮發性固體含量的減少可導致污泥SVI升高.綜合這兩方面來看,可以推斷低溫系統活性污泥沉降性的急劇惡化是EPS和不可揮發性固體共同作用的結果.
圖 5所示為受溫度影響較大的優勢菌的系統發育樹.在所有活性污泥樣品中,受溫度影響較大的優勢細菌有19種,其中以變形菌最多,共9種(α-、β-和γ-變形菌分別為3種、2種和3種);其次是擬桿菌門,共5種;再次為放線菌門,共3種;最后是綠彎菌門和厚壁菌門,各1種.本試驗所得序列與GeneBank數據庫中序列的比對結果顯示,系統中一半以上的優勢細菌與生長在厭氧或者微氧條件下的已知菌種相似;絕大多數細菌與已有菌種的相似度均大于95%,只有條帶34代表的細菌與已知菌種的相似度為91%(未顯示數據).由DGGE圖譜可以看出,條帶34所代表的細菌在中溫(20 ℃)和低溫(15 ℃)環境下較多,而高溫(25 ℃)似乎不利于這種細菌的生長.可以推斷這種細菌可能是本試驗除磷系統中特有的一種嗜冷細菌.條帶10和11代表的細菌均與Acinetobacter sp.相似性較高曾經指出,Acinetobacter sp.是活性污泥系統中典型的聚磷菌.在本實驗中,低溫時這種細菌的數量較多,與之對應的是低溫時系統的除磷效率更高,由此推測,Acinetobacter sp.可能在除磷過程中起著相當重要的作用.條帶13對應的是系統中唯一的厚壁菌門,在試驗的整個過程中始終存在于兩個反應器中.該細菌可使葡萄糖(淀粉的水解產物)在厭氧條件下發酵生成乙酸和丙酸,從而強化生物除磷過程.

圖 5 受溫度影響較大的細菌的系統發育進化樹
為研究污泥沉降性與微生物菌群結構的關系,我們對兩者進行了對應分析(Correspondence analysis),結果如圖 6所示.圖中樣品名稱中字母H和L分別表示25 ℃和15 ℃反應器,其后的數字表示污泥的SVI值.當溫度較低時,污泥沉降性較差,與低溫和較差的沉降性關系密切的優勢菌共9種,依次為條帶30(α-變形菌),19、20(β-變形菌),10、11(γ-變形菌),21、26(擬桿菌門),17、46(放線菌門),主要為變形菌門(Proteobacteria)、擬桿菌門(Bacteroidetes)和放線菌門(Actinobacteria).之前的研究者們采用熒光原位雜交(FISH)技術證實0041型絲狀菌是一種β-變形菌,而Thiothrix II 是一種γ-變形菌(Thomsen et al.,2006; Rossetti et al.,2003).可以推斷低溫環境同時刺激了這些優勢菌和絲狀菌的生長,而這種環境究竟如何影響Thiothrix II的生長及在此過程中上述9優勢菌究竟有何作用仍需要進一步的研究.高溫時,污泥沉降性良好,受高溫影響較大的優勢菌有7種,依次為條帶34(變形菌門)、3(綠彎菌門)、39(α-變形菌)、14(α-變形菌)、6(擬桿菌門)、42(擬桿菌門)和12(擬桿菌門),主要屬于變形菌門(Proteobacteria)和擬桿菌門(Bacteroidetes).前人的研究表明,活性污泥絮體中大多數細菌均屬于變形菌門和擬桿菌門(Bacteroidetes),它們在污染物的去除過程中發揮著重要作用.在高溫系統中,這些細菌的優勢生長伴隨著污泥沉降的逐漸好轉,可以推測它們應該是菌膠團細菌的重要組成部分.此外,有研究指出,高溫有利于厚壁菌門細菌的生長.然而在本實驗中,高溫對厚壁菌門細菌的影響并不明顯.具體參見污水寶商城資料或http://m.dongaorq.cn更多相關技術文檔。

圖 6 反應器中所取污泥樣品的菌群分布與污泥沉降性的對應分析
4 結論
1)在15~25 ℃范圍內,高溫有利于污泥沉降性能的改善,升溫和降溫均可導致EPS中蛋白質含量在短期內急劇增加.25 ℃時會抑制絲狀菌的生長,而15 ℃時會刺激Thiothrix II型絲狀菌的大量增殖.
2)當絲狀菌數量變化不大時,污泥中不可揮發性固體和含磷量對沉降性影響顯著,EPS的增加不利于污泥的沉降,污泥密度與沉降性能無顯著相關性.
3)A/O除磷系統中受低溫影響較大的優勢菌為變形菌門、擬桿菌門和放線菌門,它們可能與系統中的絲狀菌有著某種聯系.受高溫影響較大的優勢菌為變形菌門和擬桿菌門,它們與較好的污泥沉降性關系密切,可能是污泥絮體中菌膠團細菌的重要組成部分.


